香川県高松市 西町の浜街道沿いにある歯科医院、はる歯科診療室です♪
みなさん、おはようございます!
私にとって思い出のある治療があります。
開業し始めの頃、奥歯の痛みを原因に50代の男性が来院されました。
「先生~~~痛くて全然噛めないんですよー。゚(゚´Д`゚)゚。
夜になるとズキズキ痛んで、痛み止めがないと寝れなくって。
段々痛み止めも効かなくなって、昨日は昼間も痛かったんですよ(TT)」
問診をしてみると、虫歯が進行してしまったか? それとも歯周病で歯を支えてる骨にも及んでいるのか? など色々考えました。
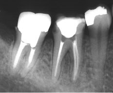
とりあえず痛む部位を、レントゲン撮影をさせて頂きました。
そのレントゲンをみてびっくり!(◎_◎;)
痛いと言われる歯の部分だけ歯を支えてる骨が溶けていましたΣ(゚д゚lll)

念のために全体的に歯周ポケットの測定をおこないました。
プラークコントロールもとても良く、やはり痛む歯以外の歯周ポケットは正常値でした。
(*プラークコントロールとは、歯磨きが上手にできているか、あるいはできていないかという意。)
「先生・・・やっぱりこの歯は抜かないとダメですか?
実はここに来る前に違う歯医者さんに行ったんですよ。
そしたら歯周病にかかってるから、即抜歯と言われてしまって(´Д` )
ほっといたら他の歯もダメになるって言われたんですけど、抜く前に他に治療法がないんだろうかと思って。」
レントゲンを診ると、歯の神経に細菌感染が由来した病変から、歯周組織にまで波及した結果であることが認められたため、まずは歯の神経の治療を優先し、歯周治療と並行して治療を始めました。
私はいつも「自分が受けたい、自分の身近な人にしてあげたい治療」という事を第一選択として治療を提案しています。
やはり私がこの患者さんでも抜歯は嫌だなと思いました!!
「◯◯さん、この歯は周りの骨が溶けていているので、痛みが出ています。
骨が溶けている原因は一般的には歯周病が考えられるのですが、◯◯さんの場合ピンポイントなんですよね。
珍しいケースですが、銀歯の下でこの歯の神経が壊死をしていて、その炎症が原因で骨を溶かしている可能性も考えられます。
一度銀歯を外して神経の治療をしてみませんか?
その治療をしても痛みが消えなかったら、残念だけど抜歯をさせてください。
経過観察もしなくてはいけないので、時間がかかります。
もしかしたら時間の無駄になるかもしれませんが、私もこの歯を抜きたくないんですよね。」
私は正直な気持ちを患者さんにお伝えしました。
「先生、時間がかかっても構いません。
この歯を治療してください!
だって抜歯したら痛みは消えるけど、それで終わりじゃないでしょ?
インプラントとかの治療が必要になるでしょ?
本当にダメになったらそうするから、とりあえず神経の治療をしてください!!」
私もどうにかこの歯を抜きたくないという気持ちで神経の治療を頑張りました!!
その結果・・・
この歯を支えている骨は見事に回復しました )^o^(

「先生!抜歯しなくて良かったわー!
これからもしっかり歯磨き頑張るわー(^◇^)」
歯の痛みには色々な原因があります。
もちろん残念ながら抜歯をしなくてはいけないこともあります。
はる歯科ではレントゲンなどの検査を行い、しっかり説明を行なっています。
疑問に思われることがあれば、お気軽におっしゃってください。

ご予約のお電話は
087-833-6480
高松市西町13-31 はる歯科診療室