香川県高松市 西町の浜街道沿いにある歯科医院、はる歯科診療室です♪
みなさん、こんにちは!
「毎日歯を磨いているのに、また虫歯ですか😭」とある患者さんの嘆きです。
同感される方も多いのではないでしょうか。
実は自分で歯を磨いていても多くの場合、磨き癖などで同じ場所に歯垢が残ってしまうことがあります。
そのため、自分で磨いているつもりでも虫歯や歯周病が進行してしまうのです。
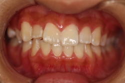
その磨き残しを確認する「歯垢染色剤」というものがあります。
歯垢染色剤とは、歯に付いている歯垢を染め出す方法です。
歯垢は歯に近い白や乳白色をしているため、見た目では歯と同じような色をしています(´Д` )
歯垢染色剤で歯垢を染め出すことによって、歯に付いている歯垢を染め出し、わかりやすくすることができます![]()

私が初めて使ったのは小学生の時でした。
たしか保健指導の授業の一環だったと思います。
赤い錠剤を噛み砕いて、口の中に行き渡らせた後にうがいをした記憶があります。
鏡で赤く染まった部分を確認し、歯磨きをみんなでしました。
歯より舌が真っ赤に染まってクラス全員でキャーキャー騒いだ思い出があります(*^◯^*)
それから時が経ち、歯学生になった時に再び歯垢染色剤を使いました。
その時は液状のもので、綿球に浸してから歯に塗って使うものでした。
さすがに小学生ではないので、騒ぎはしませんでしたが真っ赤に染まった自分の歯にびっくりしました!(◎_◎;)
「毎日ブラッシングしてるのに、こんなに残っているなんてー(T ^ T)」
その後、自力でブラッシングし100%きれいになるまで頑張ったのですがなかなか大変でした。
どういうふうに歯ブラシを動かしたらきれいに磨けるのか、たくさん考えた記憶があります。
もしかしたら、人生で初めて歯磨きについて考える機会になったのかもしれません。
歯磨きをいかに毎日適当にしてきたのか、反省しました😭
歯垢染色剤には色んな種類のものがあります。
はる歯科では、症例に合わせて2種類の製品を使用しています。
(株)ジーシー PROSPEC

染め出し確認したい部分を確実に染色してくれます。
無害な食品用着色料を使用しており、クセがない味とわずかな香りがあります。
(株)Ci PLAQUE CHECKER

新しい歯垢は赤紫色に、古い歯垢は青紫色に染め分けられるので、習慣的に磨けていないかどうか判断できます。
自分の磨き残しは確認したいけど、家で使うのはちょっと・・・と思われる方はお気軽におっしゃってください😃
歯科衛生士が染め出しを行い、歯磨きの方法を指導致します!!
ちなみに、はる歯科ではクリーニングの際に歯垢染色剤を使っています。
この時にもどれだけ磨き残しがあるのか、確認が出来ます。
磨き残しゼロを目指しましょう![]()
ご予約のお電話は
087-833-6480
高松市西町13-31 はる歯科診療室